한눈에 보기(비만세포종)
- 비만세포종(MCT)은 강아지·고양이에서 비교적 흔한 피부 종양 중 하나입니다.
- 겉모습만으로 구분이 어려워, 보통 세침흡인(FNA) 같은 세포검사로 확인합니다.
- 치료는 보통 수술적 제거가 기본이며, 상황에 따라 방사선·항암치료(표적치료 포함)가 옵션이 될 수 있습니다.
본 글은 2024년 3월 14일 치료 당시에 작성한 글입니다.
원글은 상기 블로그 링크에 작성되어 있으며,
본 글은 2026년 3월 홈페이지 제작 과정에서 내용은 바꾸지 않고, 양식만 다소 변경하여 옮겨두었습니다.
미야의 비만세포종은 2026년 3월 (옮긴일 기준)에도 재발하지 않고 있으며
16년 6개월령인 현재도 건강하게 잘 지내고 있습니다.
케이스 소개: 미야의 피부 종괴
안녕하세요. 늘품동물병원입니다.
오늘은 저희 집 고양이 중 한 친구의 얘기를 해보려 해요.


미야는 2009년에 가족이 되었고, 현재 만 15살입니다.




이번 명절에 본가(부산)에 내려가 아이를 살펴보던 중, 피부에서 만져지는 덩이(종괴)를 확인했습니다.
겉으로 보기에는 악성 종양 가능성도 배제하기 어려워, 거리가 멀지만 날짜를 잡아 내원하기로 했습니다.
내원 당시 소견
처음 병변을 확인하고, 병원에 방문하기까지 몇 주 정도 경과 하였는데
그 사이에 종괴 크기가 더 커졌고, 털을 밀어보니 한 군데가 아니라 주변으로 다발성 병변이 확인되었습니다.


세침흡인(FNA) 검사 결과 비만세포종(Mast cell tumor, MCT)으로 확인되어, 빠르게 수술을 결정했습니다.
원래도 수술을 계획하고 내원한 것은 맞으나,
- 비만세포종은 최대한 여유를 갖고 넓게 절제해야한다는 점
- 하나만 있는 것이 아니라, 주변에 여러개가 확인된 것
때문에 당초보다 비교적 큰 수술이 되었어요.
마취 전 건강검진 결과, 다행히 피부 비만세포종 외에
비장을 비롯한 다른 장기에서는 종양성 병변이 확인되지 않았습니다.
고양이 비만세포종은 (개에 비해) 악성도가 낮은 경우가 많지만, 병변의 형태·개수·위치에 따라 접근이 달라질 수 있어요.



미야의 경우는 표시된 범위보다 더 확장해 피부를 절제했고,
피하지방까지 최대한 제거한 뒤 봉합했습니다.
절제 조직은 조직검사를 의뢰했습니다.
회복 경과
나이가 많고, 본가(부산)에 사는 친구라 이동 시간이 걱정되었지만, 충분히 회복한 뒤 집으로 돌려보냈습니다.
집에 도착한 이후로는 큰 문제 없이 생활 중입니다.

봉합사 제거가 거리 문제로 다소 늦어졌고,
혼자 있을 때 하부를 많이 핥아
사진 상으로 확인 시에는 주변부로 피부염이 생겼지만
현재는 연고를 바르며 관리하여 회복된 상태입니다.
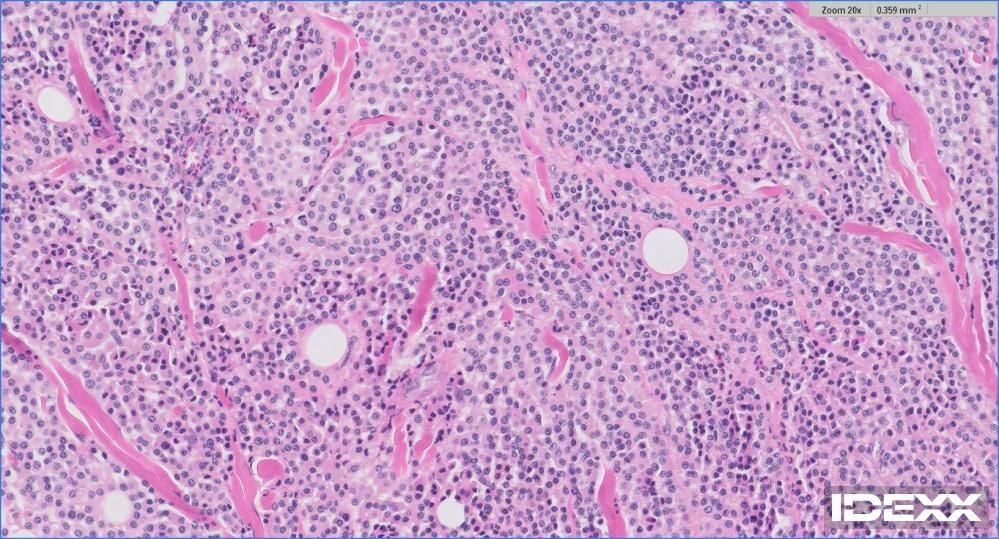
조직검사 결과
(검사 결과 이미지)




- 사진 상 메인 병변: Cutaneous Mast cell tumor, high grade
- 사진 상 주변에 분포한 작은 병변: Cutaneous Mast cell tumor, low grade
자세한 내용이 많지만, 요약하면 위와 같습니다.
연구 결과 상 고양이 비만세포종은 조직검사의 악성도가 예후에 직접적인 영향을 미치지 않는다는 보고도 있지만,
그럼에도 이론적으로는 high grade가 low grade보다 예후가 나쁠 가능성이 있습니다.
따라서 수술은 잘 마쳤지만, 상황에 따라 imatinib 같은 경구 항암제가 치료 옵션이 될 수 있습니다.
특히 발가락이나 얼굴처럼 깔끔한 절제가 어려운 부위에서는,
투약으로 크기와 수술 범위를 줄인 뒤 수술을 진행하기도 합니다.
미야의 경우는 재발 여부를 관찰한 뒤, 재발 시 재수술과 약물치료를 병행할 예정입니다.
비만세포종(MCT) 간단 정리
강아지·고양이 피부에는 다양한 종양이 생길 수 있고, 그 중 비교적 흔한 종양이 비만세포종입니다.
- 개의 피부 종양 중 16~21%
- 고양이 피부 종양 중 약 20%
다행히 원내에서 할 수 있는 세포검사(세침흡인검사)로 비교적 쉽게 진단이 가능한 편입니다.


병변 주변의 털을 밀고, 바늘을 통해 세포를 채취하여 현미경으로 보면
위와 같은 사진을 관찰할 수 있습니다.
매우 드물게, 과립이 나타나지 않는 비만세포종도 있지만
대부분은 이렇게 세포검사에서도 쉽게 진단이 가능합니다.
비만세포종의 외형


비만세포종은 위처럼 아주 단순하고 작은 모양으로 시작하는 경우가 많습니다.
하지만 미야처럼 다발성으로 여러 개 나타나는 경우도 있습니다.
비만세포종(MCT) 치료 옵션(일반 안내)
- 수술적 제거
- 비만세포종이 확인되면, 우선적으로 고려되는 치료 옵션입니다.
- 개에서는 3cm 이상의 여유를 확보하여 아주 넓게 절제를 하는 것이 표준입니다.
- 부위에 따라 현실적으로 어려운 경우가 많아 최근에는 low ~intermediate grade에서는 1 ~ 2cm의 여유를 두는 것을 권장하기도 합니다.
- 방사선치료 또는 항암치료(화학치료/표적치료 등)
- 광범위한 수술이 어려울 때, 타이트한 수술적 절제 후, 추가 치료 옵션이 될 수 있습니다.
- 최근에는 imatinib 같은 경구용 항암제가 치료 옵션으로 고려되기도 합니다.
- 필요에 따라서는 스테로이드·항히스타민 등을 함께 투야하면서 종양을 크기를 줄인다음 수술을 진행하기도 합니다.
마치며
비만세포종은 흔한 종양이지만, 외관만으로 명확히 진단을 하기 힘듭니다.
강아지·고양이 피부에 종괴가 생겼다면,
가급적 조기에 내원하여 세포검사로 비만세포 여부를 확인하고,
필요 시 수술적 제거를 고려하시길 권장 드립니다.
감사합니다.

